Type at least 1 character to search

Mitralklappenclipping

Mitralklappeninsuffizienz (Mitralklappenundichtigkeit) ist ein häufiger Klappenfehler, sie steht bei der Herzklappenerkrankungen nach der Aortenklappenstenose an zweiter Stelle. Das Auftreten nimmt mit dem Alter zu.

Die natürliche Prognose einer schweren Mitralklappeninsuffizienz ist ungünstig. Die schwere Mitralklappeninsuffizienz geht mit einer verminderten Lebensqualität, wiederkehrenden Krankenhausaufenthalten und einer erhöhten Sterblichkeit einher.

Ursachen und Therapie

Die Ursachen der Mitralklappeninsuffizienz sind verschieden. Die Einteilung der Mitralklappeninsuffizienz in die primäre und sekundäre bezieht sich auf die zugrunde liegende Pathologie und hilft bei der Entscheidung wie und wann die Mitralinsuffizienz behandelt werden sollte. Diese Einteilung wird von unseren erfahrenen Kardiologen getroffen.

Bei der primären Mitralklappeninsuffizienz sind ein oder mehrere Komponenten des Mitralklappen-Apparates (Segel, Sehenfäden oder Papillarmuskel) geschädigt. Die Effektivität der medikamentösen Therapie ist in solchen Fällen häufig begrenzt. Der Standard der Behandlung der jungen Patienten oder der Patienten mit niedrigem OP-Risiko ist die chirurgische Mitralklappenrekonstruktion.

Bei einer sekundärer Mitralklappeninsuffizienz sind die Segel und die Sehnenfäden der Mitralklappe unbeschädigt. Die Mitralinsuffizienz entsteht durch Erweiterung der angrenzenden Herzkavitäten, geometrischer Verformung des linken Ventrikels, so entstehender Segelzügelung und einem inkompletten Klappenschluss. Die medikamentöse Behandlung kann in solchen Fällen sehr effektiv sein, in früheren Stadien kann der Klappenfehler sich sogar vollständig zurückbilden.

Bei stark fortgeschrittener Mitralklappeninsuffizienz ist die medikamentöse Therapie nicht mehr ausreichend. Die Beschwerden (Atemnot, Erschöpfung, Wasseransammlungen in den Beinen und der Lunge, abnehmende Körperleistung) nehmen zu, die Lebensqualität nimmt deutlich ab, die Lebenserwartung ist vermindert.

Operative Behandlung

Prinzipiell ist die operative Behandlung der schweren Mitralklappeninsuffizienz das Verfahren der 1. Wahl.

Zahlreiche Nebenerkrankungen und das höherer Alter erhöhen das OP Risiko erheblich. Viele Studien zeigten, dass knapp die Hälfte von solchen Patienten einer Herzoperation nicht unterzogen wurden, obwohl diese eine Standarttherapie ist. Teilweise verzichten die Patienten aufgrund der langen Genesungszeit oder aus Angst vor möglichen Komplikationen auf eine Operation. Ihre Lebensqualität und die Lebenserwartung waren stark eingeschränkt.

Inzwischen gibt es mehrere gut erforschte und in der klinischen Routine bereits etablierte kathetergestützte, also minimal invasive, Behandlungsmethoden (1-7). Zwei von diesen werden im Verlauf geschildert. Das PASCAL Verfahren findet bei uns im Hause Anwendung.

Kathetereingriffe -wie PASCAL (Edwards Lifesciences) oder MitraClip (Abbott)- können mit Anbringen eines kleinen Implantats durch die Leistenvene das vordere und das hintere Mitralsegel an einer oder mehreren Stellen verbinden. Die Mitralklappeninsuffizienz nimmt dadurch deutlich ab oder verschwindet sogar ganz. Diese Eingriffe sind komplexer und werden nach gründlicher Vorbereitung in der Regel in Vollnarkose durchgeführt. Die Patienten erholen sich rasch und können bereits nach wenigen Tagen das Krankenhaus wieder verlassen.

Klappen-Rekonstruktionssystem-PASCAL Bild: ©Edwards Lifesciences

Klappen-Rekonstruktionssystem – PASCAL (Edwards Lifesciences).
© Bild: Edwards Lifesciences

Die kathetergestützte Mitralklappenrekonstruktion ist eine gute Alternative für schwer kranke oder ältere Patienten. Sie ist der medikamentösen Behandlung allein und in einigen Fällen sogar der Herzoperation überlegen. Nach solchen Eingriffen erholen sich die Patienten schneller als nach einer Herzoperation. Durch Kombination der medikamentösen Therapie mit einer Mitralklappenrekonstruktion (MitraClip) werden das Sterbe-Risiko bis zu 17% kleiner als unter alleiniger Tablettenbehandlung, die wiederholten Krankenhausaufenthalte 40% seltener, die Lebensqualität verbessert sich in 16% (5).

Das Kardiocentrum Frankfurt an der Klinik Rotes Kreuz und die Rotkreuz Kliniken Frankfurt haben ein Ziel die Patienten zeitgemäß, schnell, schonend und effektiv zu behandeln. Wir streben an die Vorteile der neuen Behandlungsmethoden unseren Patienten zugutekommen zu lassen um Klappenveränderungen gezielt behandeln zu können. Somit wird auch den schwerkranken, behandlungsbedürftigen Patienten die Möglichkeit gegeben, zeitgemäß behandelt zu werden und ihre Lebensqualität sowie ihre Lebenserwartung zu verbessern.

Diagnostik und Behandlungsbeispiele

3D-TEE, Schluckechokardiographie

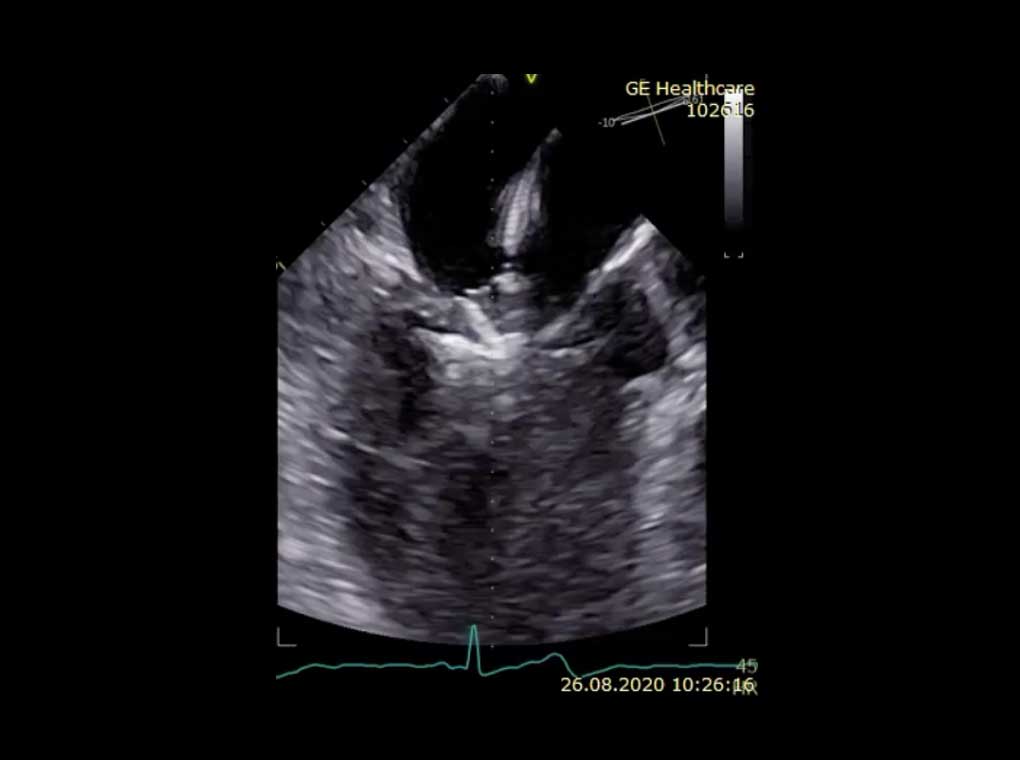
Flatterndes Segment des hinteren Segels (roter Pfeil) bei abgerissenen Sehenfäden und schwere Mitralklappenundichtichgkeit

3D-TEE bei Kathetergestützter Mitralklappenrekonstruktion mit PASCAL-System

Ausrichten  —>

Greifen —>

Schließen —>

Ablösen

3D-TEE beim Kathetergestütztem Mitralklappeneingriff

Eingriff 26.08.2020

2. Pascal

3D-TEE Untersuchung einer schwer undichten Mitralklappe

Inkompletter Klappenschluss (roter Pfeil) bei stark erweiterter Herzkammer

Schwere sekundäre Mitralklappeninsuffizienz (-Undichtigkeit)

3D-TEE Untersuchung einer schwer undichten Mitralklappe

Schwere sekundäre Mitralklappeninsuffizienz (links) bei sonst unbeschädigter Mitralklappe (rechts)

3D-TEE bei Kathetergestützter Mitralklappenrekonstruktion mit PASCAL-System

Ausrichten  —>

Greifen —>

Schließen —>

Ablösen

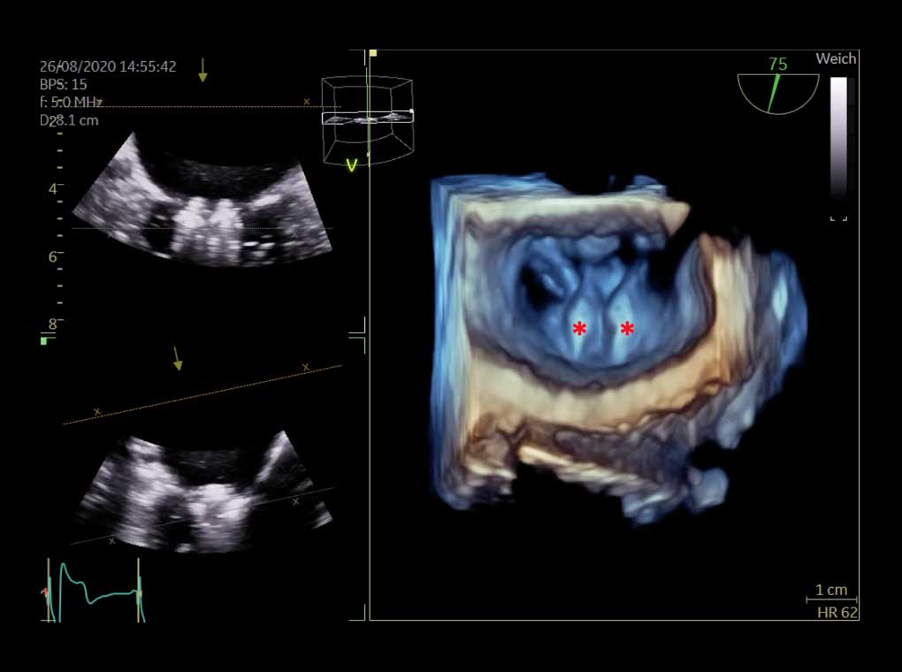
Behandlung der Mitralklappe:Kathetergestützter Mitralklappenrekonstruktion mit PASCAL-System

Annäherung beider Segel mit 2 PASCAL Implantaten (*)

Reduktion der Mitralklappeninsuffizienz auf Grad 1

3D-TEE Untersuchung der Mitralklappe vor und nach dem PASCAL Eingriff

Reduktion der Mitralinsuffizienz von Grad 3 auf Grad 1

Literatur

1. Siminiak T, Wu JC, Haude M, Hoppe UC, Sadowski J, Lipiecki J, Fajadet J, Shah AM, Feldman T, Kaye DM, Goldberg SL, Levy WC, Solomon SD, Reuter DG (2012) Treatment of functional mitral regurgitation by percutaneous annuloplasty: results of the TITAN Trial. Eur J Heart Fail 14:931–938

2. Witte K, Lipiecki J, Siminiak T, Meredith I, Malkin Ch, Goldberg S, Stark M, von Bardeleben S, Cremer P, JaberW, Celermajer D, Kaye D, Sievert H.The REDUCE FMR Trial A Randomized Sham-Controlled Study of Percutaneous Mitral Annuloplasty in Functional Mitral Regurgitation. JACC: HEART FAILURE VOL. 7, NO. 11, 2019 NOVEMBER 2019:945–55

3. Feldman T, Foster E, Glower DG, Kar S, Rinaldi MJ, Fail PS, Smalling RW, Siegel R, Rose GA, Engeron E, Loghin C, Trento A, Skipper ER, Fudge T, Letsou GV, Massaro JM, Mauri L, Investigators TEVERESTII (2011) Percutaneous repair or surgery for mitral regurgitation. N Engl J Med 364:1395–1406

4. Feldman T, Kar S, Elmariah S, Smart SC, Trento A, Siegel RJ, Apruzzese P, Fail P, Rinaldi MJ, Smalling RW, Hermiller JB, Heimansohn D, Gray WA, Grayburn PA, Mack MJ, Lim DS, Ailawadi G, Herrmann HC, Acker MA, Silvestry FE, Foster E, Wang A, Glower DD, Mauri L, EVEREST II Investigators (2015) Randomized comparison of percutaneous repair and surgery for mitral regurgitation: 5-year results of EVEREST II. J Am Coll Cardiol 66:2844–2854

5. G.W. Stone, J.A. Lindenfeld, W.T. Abraham, S. Kar, D.S. Lim, J.M. Mishell, B. Whisenant, P.A. Grayburn, M. Rinaldi, S.R. Kapadia, V. Rajagopal, I.J. Sarembock, A. Brieke, S.O. Marx, D.J. Cohen, N.J. Weissman, M.J. Mack, for the COAPT Investigators Transcatheter Mitral-Valve Repair in Patients with Heart Failure N Engl J Med 2018;379:2307-18.

6. J.-F. Obadia, D. Messika-Zeitoun, G. Leurent, B. Iung, G. Bonnet, N. Piriou, T. Lefèvre, C. Piot, F. Rouleau, D. Carrié, M. Nejjari, P. Ohlmann, F. Leclercq, C. Saint Etienne, E. Teiger, L. Leroux, N. Karam, N. Michel, M. Gilard, E. Donal, J.-N. Trochu, B. Cormier, X. Armoiry, F. Boutitie, D. Maucort-Boulch, C. Barnel,G. Samson, P. Guerin, A. Vahanian, and N. Mewton, for the MITRA-FR Investigators Percutaneous Repair or Medical Treatment for Secondary Mitral Regurgitation N Engl J Med 2018;379:2297-306.

7. Lim D, Kar S, SpargiasK, KippermannR, O’Neill W, Fam N, Walters D, Webb J, Smith R, Rinaldi M, Latib A, CohenG, Schäfer U, Marcoff L, Vandangi P, Verta P, Feldman T.Transcatheter Valve Repair for Patients With Mitral Regurgitation: 30-Day Results of the CLASP Study. JACC: Cardiovascular Interventions 2019;12:1369-1378